Approfondimenti e casi studio clinici
Qui trovi approfondimenti sulle varie tecniche utilizzate in laboratorio a Busto Arsizio e in Studio a Gorla Maggiore, casi clinici risolti, informazioni e curiosità sul mondo odontoiatrico.
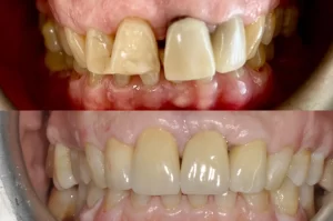
- Impianto Dentale a Carico Immediato in 24 ore
di Maurizio A. FestaLo studio dentistico Dental Tek di Gorla Maggiore dispone di un laboratorio interno a Busto Arsizio che, grazie alla tecnologia… Leggi tutto: Impianto Dentale a Carico Immediato in 24 ore - Riabilitazione Estetica Anteriore con Impianto 21
di Maurizio A. FestaRiabilitazione Estetica Anteriore con Impianto 21 La riabilitazione del settore anteriore rappresenta una sfida clinica che richiede precisione tecnica e… Leggi tutto: Riabilitazione Estetica Anteriore con Impianto 21 - Corona provvisoria su impianto in zona Busto Arsizio
di Maurizio A. FestaLa corona provvisoria su impianto è un restauro temporaneo progettato per ripristinare funzione ed estetica durante il periodo di guarigione… Leggi tutto: Corona provvisoria su impianto in zona Busto Arsizio - Impianto dentale e dolore postoperatorio: come alleviarlo
di Maurizio A. FestaL’impianto dentale è una soluzione protesica altamente predicibile, ma il dolore post-operatorio rappresenta una problematica frequente per i pazienti. L’articolo… Leggi tutto: Impianto dentale e dolore postoperatorio: come alleviarlo - Corona provvisoria e BOTP per correzione profilo gengivale
di Maurizio A. FestaCorona dentaria provvisoria e BOTP: riparazione del profilo gengivale La capsula provvisoria, spesso percepita dal paziente come una semplice fase… Leggi tutto: Corona provvisoria e BOTP per correzione profilo gengivale - Corona dentaria: tutto quello che c’è da sapere
di Maurizio A. FestaCorona dentaria: cos’è, quando serve e quali sono le alternative La corona dentaria rappresenta una delle soluzioni protesiche più utilizzate… Leggi tutto: Corona dentaria: tutto quello che c’è da sapere - Soluzioni con Impianti Zigomatici in Zona Busto Arsizio
di Maurizio A. FestaGli impianti zigomatici si occupano della riabilitazione del mascellare superiore gravemente atrofico, una delle sfide più complesse in ambito implantologico.… Leggi tutto: Soluzioni con Impianti Zigomatici in Zona Busto Arsizio - Allineatore Dentale Trasparente: Prezzo, Funzionamento e Risultati
di Maurizio A. FestaNegli ultimi decenni, l’ortodonzia ha assistito a un’evoluzione significativa grazie all’introduzione degli allineatori dentali trasparenti, detti anche apparecchi mobili invisibili.… Leggi tutto: Allineatore Dentale Trasparente: Prezzo, Funzionamento e Risultati
